Niciun produs
Sistem Digitalizare Radiologie DR FLAT PANEL DETECTOR – DRTECH EVS 4343WP
Sistemul de digitalizare pentru Radiologie DRTECH EVS 4343WP reprezinta ultima tehnologie in materie de achizitie digitala directa a imaginilor radiologice, adaptata pentru utilizarea cu echipamentul X-Ray conventional prin metoda retrofitting, fiind solutia ideala pentru digializarea instalatiilor radiologice clasice / analogice din unitatile medicale, care au nevoie de radiografii digitale de inalta calitate la un cost redus.
Aceasta solutie duce la eliminarea filmelor clasice si a substantelor de developare, reducand considerabil costurile actuale si imbunatatind considerabil fluxul de lucru.
Aceasta modalitate nu necesita nicio interventie tehnica asupra instalatiei radiologice existente, utilizarea sistemului de digitalizare DR FLAT PANEL DETECTOR fiind foarte simpla cu o interfata usor de lucrat. Expunerea se realizeaza direct pe panoul DR (pozitionat in masa bucky), iar imaginea este vizibila si printabila doar in cateva secunde.
Imaginile pot fi exportate / arhivate in PACS, printate la imprimante laser medicale DICOM sau scrise pe CD.

Platform QX Wireless fara erori Waterproof WPCS USB Tip-C
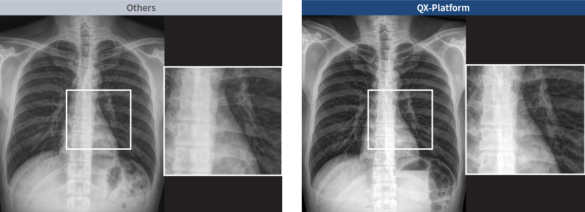
EVS Series Premium Series by QX-Platform
EVS Premium Series aplicat de QX-Platform ofera experienta imagistica performanta cu doze reduse si acuratete diagnostica ridicata

Rezolutie Inalta IGZO TFT oferita de DRTech
SETehnologia IZGO a platformei QX a fost dezvoltata de DRTech si are o mobilitate electronica de 10 ori mai rapida cu o scurgere mai mica comparand-o cu cea a vechilor TFT.

FOCUS Scintillator Technology
Tehnologia FOCUS (Fluorescent Optical Csi Upgraded Structure) are mai multe semnale optice focusate decat un Csi conventional. Ca rezultat, sunetele ultrea joase sunt obtinute de catre tehnologia FOCUS.

Reducere doza cu 30% datorita valorii DQE de 2.5 ori mai inalte
EVS a platformei QX are performanta DQE de 2.5 ori mai inalta comparativ cu detectoarele obisnuite, astfel rezultand o reducere a dozei cu 30% sau mai mult pentru obtinerea unei calitati a imaginii exceptionale.

TRUVIEW®ART
Tehnologia avansata de reconstructie a imaginei TRUVIEW®ART creste valoarea MTF cu 30% prin intermediul reducerii distorsionarii luminii atunci cand radiatia este transformata in lumina.



Performata de incredere in aplicatii wireless

Wireless fara erori
Nu mai exista nici o posibilitate de a pierde imaginile x-ray din cauza unei pierderi de conexiune deoarece EVS 3643WP asigura o performanta wireless perfecta si are memorie incorporata.

Design robust Dust & Waterproof
Proiectat pentru a nu permite penetrarea cu lichide, nu trebuie sa aveti vre-o grija in privinta lichidelor cum ar fi sangele sau voma ce ar putea intra in detector.

Sistem Wireless Power Charging
Primul WPCS din lume ce functioneaza fara intrerupere pentru portabilitate perfecta si alimentare energie rapida si efectiva.


Specificatii:
*Designul si specificatiile produsului se pot modifica fara notificari prealabile!!!
*Acesta este un ,,dispozitiv medical”. Trebuie utilizat doar de catre personal medical profesional calificat respectand toate regulile si protocoalele de siguranta si operare!!!
| Tip sistem | DR |
| Aplicabilitate | Umana |
| Scintilator | Iodura de cesiu |
| Timp scanare/achizitie | Sub 5 secunde |
| Dimensiuni | 43x43 |
| Rezolutie | 3072x3072 |
| Dimensiune pixel | 140 μm |